Contact Us

Phone
07 5212 5855

Email
info@caloundradentalstudio.com.au

Address
Shop 10 , (opposite to K mart) Caloundra shopping centre, 47 Bowman Rd, Caloundra QLD 4551

Online Enquiry

* Required fields
* Required fields

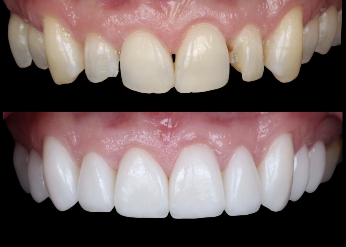
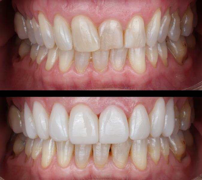
Smile gallery

 

Book Online